近日,西安市第九医院心血管病院团队完成医院首例Shockwave冲击波球囊钙化斑块碎裂术,标志着心血管病院在冠脉钙化病变介入治疗领域进入了全新阶段!
59岁女性患者,有高血压、糖尿病、脑梗等病史,此次因反复心绞痛于9月13日来院,冠脉造影提示前降支近中段狭窄80%,右冠脉近中段狭窄85%,术中顺利处理前降支病变,植入1枚支架,但在后续处理右冠脉近中段病变时反复应用多种球囊器械均难以对病变进行有效预扩张,病变始终存在严重狭窄,导致支架无法输送到预定位置。为了明确病变局部斑块性质,排查支架无法通过病变的原因,手术团队对病变进行了冠脉内光学相干断层成像检查(OCT),检查发现:患者右冠脉近中段存在重度360°环状钙化狭窄病变,正是这些严重的钙化导致球囊难以有效扩张及支架推送困难。团队成员经过慎重的考虑后决定在OCT及冠脉造影融合技术精准指导下,启动最新的Shockwave冲击波球囊钙化斑块碎裂技术处理环形钙化病变。
手术中,沿导丝送入3.0mmx12mm Shockwave IVL冲击波球囊精准定位于右冠脉近中段钙化最严重处,先后触发40次脉冲冲击波(4个周期),实施钙化斑块碎裂术,术后复查OCT示:右冠脉近中段原360°环状钙化病变可见多处明显裂隙,随后送入球囊对目标病变进行有效预扩张,并成功植入支架1枚,术后造影显示原钙化狭窄病变处狭窄消失、血流通畅、支架膨胀良好,手术圆满成功。整个手术过程用时约60分钟,患者在清醒状态下无任何不适症状,术后恢复情况良好,于术后第3天出院。患者术后1月随访情况良好,未再有心绞痛发作,复查各项指标均正常。
冠脉造影提示右冠脉近中段钙化严重
应用多种球囊器械均难以对病变进行有效预扩张
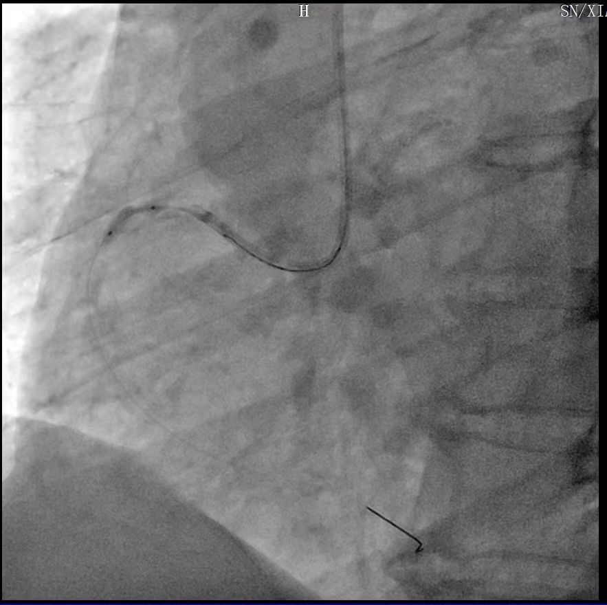
导管支持下通过OCT导管
OCT-冠脉造影融合技术评价钙化病变并实时定位,提示右冠脉近中段存在重度360°环状钙化狭窄病变。
导管支持下通过Shockwave球囊,初始球囊不能完全膨胀。脉冲冲击治疗中Shockwave球囊逐渐膨胀
脉冲冲击治疗后Shockwave球囊完全膨胀
Shockwave球囊冲击波治疗冠状动脉钙化病灶前、后造影,冲击波治疗后支架顺利输送到位及支架植入术后造影
Shockwave球囊冲击波治疗前、后OCT成像对比,治疗后OCT示:右冠脉近中段原360°环状钙化病变可见多处明显裂隙。
心血管病院冯占斌院长及心血管病院一科袁博主任介绍到:本例手术通过冠脉内光学相干断层成像(OCT)与冠脉造影相融合,精准评估后成功应用冲击波球囊钙化斑块碎裂技术完成冠脉严重钙化病变的介入治疗。该手术的成功既是我院首次应用Shockwave冲击波球囊钙化斑块碎裂技术完成冠脉严重钙化病变介入治疗的典型病例,标志着我院在冠脉钙化介入治疗领域迎来新技术、新突破和新的治疗局面。
西安市第九医院心血管病院一科拥有非常雄厚的技术基础和人才储备,开设有心血管专家门诊和专科门诊。现有医护人员47名,主任医师2名,副主任医师4名,主治医师4名,住院医师5名,专业高级人才7名,硕士研究生11名,护理人员32名。本科室在长期临床实践中,对心力衰竭诊治、心律失常射频消融、冠心病介入诊疗、永久搏器植入、高血压病及心血管药理等方面积累了丰富的临床经验。对疑难病、急危重症病人抢救成功率达95%以上。近年来成功开展本院首例左心耳封堵术、首例心房颤动冷冻消融+左心耳封堵一站式手术、首例Micra心脏无导线起搏器置入术、首例Shockwave冲击波球囊钙化斑块碎裂术等国际领先诊疗技术。心血管病院一科共拥有床位68张,其中CCU床位10张,配备有先进的抢救及治疗设备,包括有创呼吸机(1台)、无创呼吸机(2台)、除颤仪、心衰超滤治疗仪等各类仪器设备。












冯占斌院长 专家门诊时间:周五上午
袁博主任 专家门诊时间:周三上午 周五下午
赵伟副主任医师 专家门诊时间:周二上午
马宏恩副主任医师 专家门诊时间:周一下午 周六上午
王鑫副主任医师 专家门诊时间:周日下午
心血管病院一科1组电话:61165765
心血管病院一科2组电话:61165762