放疗精准攻坚,为呼吸“拆弹”点击关注
正常呼吸本是无需在意的本能,平躺入睡更是人人习以为常的安稳,可这些对于上腭腺样囊性癌患者路先生(化名)而言,曾是遥不可及的奢望。
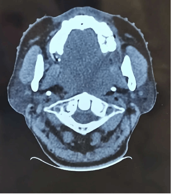
口腔上腭的肿瘤会蔓延增殖,体积日复一日地膨胀,不仅啃噬着脆弱的口腔组织,更像一只无形的手,死死扼住他的气道。每一次吸气都要拼尽全力,喘息声里满是挣扎,让每一个夜晚都成了煎熬。
渴望收获安稳睡眠的路先生辗转来到我院放疗科就诊。科室团队迅速启动多学科会诊,针对肿瘤体积大、位置特殊、紧邻重要器官的复杂情况,制定了个体化精准放疗方案。借助先进的影像及放疗技术,团队精准勾勒肿瘤靶区,将高剂量射线精准聚焦于病灶,在最大限度保护周围正常组织的同时,对肿瘤展开集中“攻坚”。
放疗过程中,医护团队全程密切监测路先生的身体反应,及时调整治疗细节,给予专业的护理指导与心理支持。随着放疗周期推进,奇迹逐渐显现:肿瘤开始逐步缩小,气道压迫症状明显缓解,路先生的呼吸越来越顺畅。治疗结束后复查显示,肿瘤体积较治疗前显著缩小,气道通畅度恢复正常——他终于能平躺在床上,安然进入久违的深度睡眠。
治疗前
治疗后
从呼吸困难到自由呼吸,从彻夜难眠到安枕无忧,放疗科以精准医疗为刃,为路先生劈开了抗癌路上的荆棘。西安市第九医院放疗科始终秉持“精准、安全、高效”的治疗理念,依托先进的放疗设备与经验丰富的医护团队,为各类肿瘤患者量身定制治疗方案,在攻克疑难肿瘤、缓解患者痛苦、延长生存周期的道路上不断前行。
放疗门诊:
西安市第九医院门诊楼三楼放疗科诊室
(周一至周五开诊)
科室地址:
西安市第九医院新大楼负三层放疗科
联系方式:
61165958/61165934/15829901856
科学认识放疗,拒绝盲目恐惧!
让精准医疗点亮品质生活!
小贴士:
个体病情差异大,具体治疗方案需经专业医生评估。