李师傅,七十多岁了,因为“腹部不适两月余”来我院入住消化内科,经胃镜检查确诊为“胃癌”后转入普外二科行手术治疗。昨天,刚刚经过了全麻下开腹胃切除及胃肠吻合术。术后病情平稳,李师傅及家人悬着的心刚刚落下。术后16小时李师傅突然出现,意识模糊伴有左侧肢体完全不能活动。行CTA检查提示右侧的颈内动脉完全闭塞,右侧大脑半球血流基本中断,随后可能会发生大面积脑梗死,导致严重后遗症甚至死亡。这对李师傅真是“雪上加霜”,家属焦急万分,普外科急请神经外科会诊。神经外科刘展会主任了解了李师傅的病情,结合患者1年半前因“右侧颈内动脉重度狭窄行颈内动脉支架置入术病史”,高度怀疑患者因支架内血栓导致颈内动脉闭塞造成右侧大面积脑梗死。因患者刚刚进行了腹部大手术史,无法行静脉溶栓治疗。取得家属同意后神经外科介入团队立即启动急诊动脉取栓程序。由刘
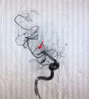
展会主任、张西安副主任医师及豆涛涛医师为患者行局麻下全脑血管造影术。术中见右侧颈内动脉支架远端及颅内段血管完全闭塞。右侧大脑半球通过左侧前交通动脉及右侧大脑前动脉有少量代偿。随后在全麻下,行颈内动脉球囊扩张,造影又发现大脑中动脉M1段也有闭塞、血流仍不通畅。这属于典型的串联病变,治疗难度大。神经外科医生没有犹豫,再行大脑中动脉内支架取栓术。经三次取栓后大脑中动脉完全通畅。术后给予少量的抗血小板治疗。经过4个多小时的手术,李师傅闭塞的血管终于开通了,脑组织恢复了血供,腹腔引流未见明显渗血,目前李师傅病情平稳,在进一步的恢复之中。









