近日,西安市第九医院血管介入科团队成功完成西安市属医院首例支架内再闭塞Jetstream血管斑块旋切抽吸术,成功治疗下肢动脉硬化闭塞症,标志着医院在复杂外周血管疾病微创治疗领域取得重大突破。该技术通过精准清除血管斑块,显著改善患者下肢血流,为下肢缺血患者提供了更安全、长效的解决方案。

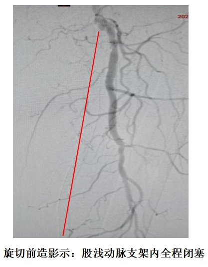
79岁男性患者赵某,因左下肢疼痛、发凉、行走困难1月入院,1年前曾行左股浅动脉动脉药物涂层支架植入术,现症状再次出现,考虑支架内再闭塞所致。且患者高龄、基础疾病较多,对手术耐受性要求极高。血管介入科手术团队经全面研究、细致讨论,决定采用新型的Jetstream血管斑块旋切抽吸系统实施微创治疗。

血管介入科手术团队密切配合,通过股动脉穿刺,将2.4mm旋切导管送至闭塞段,采用Blades Down模式旋切钙化斑块2次,再以REX模式抽吸碎屑2次,实现“无残留”清理。术后即刻造影显示血流明显通畅,无闭塞及斑块,患者左下肢皮温回升,血供改善,次日即康复出院。

马磊副主任医师介绍,Jetstream血管斑块旋切系统将前向旋切头端、主动抽吸系统及侧向扩张刀片“三合一”,既能打磨钙化、切除斑块、抽吸碎屑,同时提供了灵活多样的治疗尺寸选择,能够使管腔获益最大化。该系统还具备差异化切割技术,在高速旋转打磨钙化、切割斑块时,不会损伤血管壁等软性组织,更好地保障了术中患者的安全。此次手术的成功开展,为下肢动脉硬化闭塞症患者提供了更优治疗选择。
市九院血管介入科始终紧跟国际前沿技术发展,此次Jetstream技术的成功应用,彰显了团队在复杂血管病变介入治疗方面的雄厚实力。未来,科室将继续以技术创新为引擎,以患者需求为导向,为更多血管疾病患者守护“生命通路”。
