-
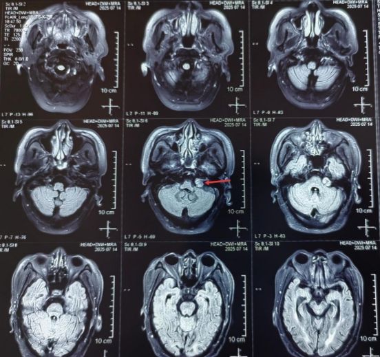
2026-02-1417岁花季少女险失明!眶尖藏肿瘤 ——我院神经外科二病区郭清保团队精准切除护视力
17岁的女孩小张(化名)近两个月来视力莫名下降、视物模糊,起初她以为是看书疲劳引发的近视,并未放在心上。直到3天前,小张突然出现头痛、恶心、食欲不振等症状,家人... -
2026-02-04我院神经外科二病区郭清保团队《Neurology》发表重磅研究成果,为儿童出血型烟雾病...
近日,西安市第九医院神经外科二病区主任郭清保团队的重要研究成果“Pediatric Hemorrhagic Moyamoya Disease:Clinical Course, Treatment, and Outcomes”在国际神经病... -
2026-01-29误诊的“脑积水”下藏罕见畸形,神外团队显微镜下“劈骨开路”解栓系
院诊断为“脑积水”并准备接受手术的女性患者,因持续加重的行走困难与下肢疼痛,来到西安市第九医院神经外科寻求进一步诊治。神经外科二病区主任郭清保带领团队进行了... -
2026-01-15【医疗突破】首例密网支架植入术成功!精准拆除复杂颅内动脉瘤
近日,我院神经外科二病区成功实施科室首例密网支架植入术,为一名合并分支血管的复杂大脑中动脉瘤患者拆除了这颗“炸弹”。前沿技术的顺利开展,标志着科室在脑血管疾... -
2026-01-08神外团队“镜”显神通,神经内镜微创为高龄脑出血患者赢生
┏┓近日,西安市第九医院神经外科二病区收治一位87岁女性患者。家属发现其突发意识障碍,急呼120送至我院。急诊头颅CT提示:左侧基底节脑出血,出血量约40ml。患者既往... -
2025-12-21【神外前沿】60岁大爷长期腰腿疼痛,以为是椎间盘问题,没想到竟然是……
60余岁的张大爷(化名)右下肢疼痛半年,在当地医院拍了腰椎的磁共振,考虑是腰椎间盘突出,做了对症处理,但下肢疼痛的症状没缓解,还出现了便秘的情况。着急的张大爷... -
2025-12-16神经外科学科带头人郭清保主任团队多维解码烟雾病核心机制!最新成果登国际权威期刊
近日,我院神经外科学科带头人、神经外科二病区主任郭清保,撰写的烟雾病多组学研究综述《Multi-Omics Research on Moyamoya Disease: Current Perspectives and Future... -
2025-12-08看不清,不一定是眼睛的问题,也许是头里的“小不点”出问题了
70 多岁的李大爷(化名)因视物模糊症状持续半年,在当地医院诊断为白内障并接受手术治疗,然而术后视力未得到明显改善,还逐渐出现表情淡漠、不愿与人交流、双下肢无力... -
2025-12-02神经外科二病区郭清保教授团队勇闯生命禁区,解决肿瘤保留功能两不误
61岁薛大爷(化名),1年前出现右侧听力下降、面瘫、右眼不能外展。于外院行头颅磁共振考虑右侧桥小脑角占位,因为比邻脑干,家属考虑患者手术风险大,仅行放射治疗。一... -
2025-11-19神经外科学科带头人郭清保受邀出席国际顶尖学术会议——展示烟雾病研究前沿成果
2025年11月13日至14日,备受瞩目的第二届结构生物学与蛋白质科学全球峰会(2nd Global Summit on Structural Biology and Protein Science)在意大利历史名城罗马隆重举...



